Les services de la clinique vétérinaire Le Semnoz

Retrouvez tous nos services en plus des "traditionnelles" consultations,
l'équipe du cabinet est en capacité de vous proposer une gamme de services adaptés aux besoins de votre animal.

Médecine préventive

La médecine vétérinaire évolue, et aujourd'hui un grand nombre de maladies peuvent être évitées ou leur évolution ralentie grâce à une prise en charge précoce avant les premiers signes cliniques.


Il s'agit là bien entendu des consultations vaccinales, tout au long de la vie de l'animal, et dont les protocoles sont revus à chaque échéance en prenant en compte le mode de vie et donc l'exposition de votre animal, ainsi que les dernières données actualisées de la science.


Il s'agit également des visites annuelles préventives sans vaccin, quand ils ne sont pas nécessaires.
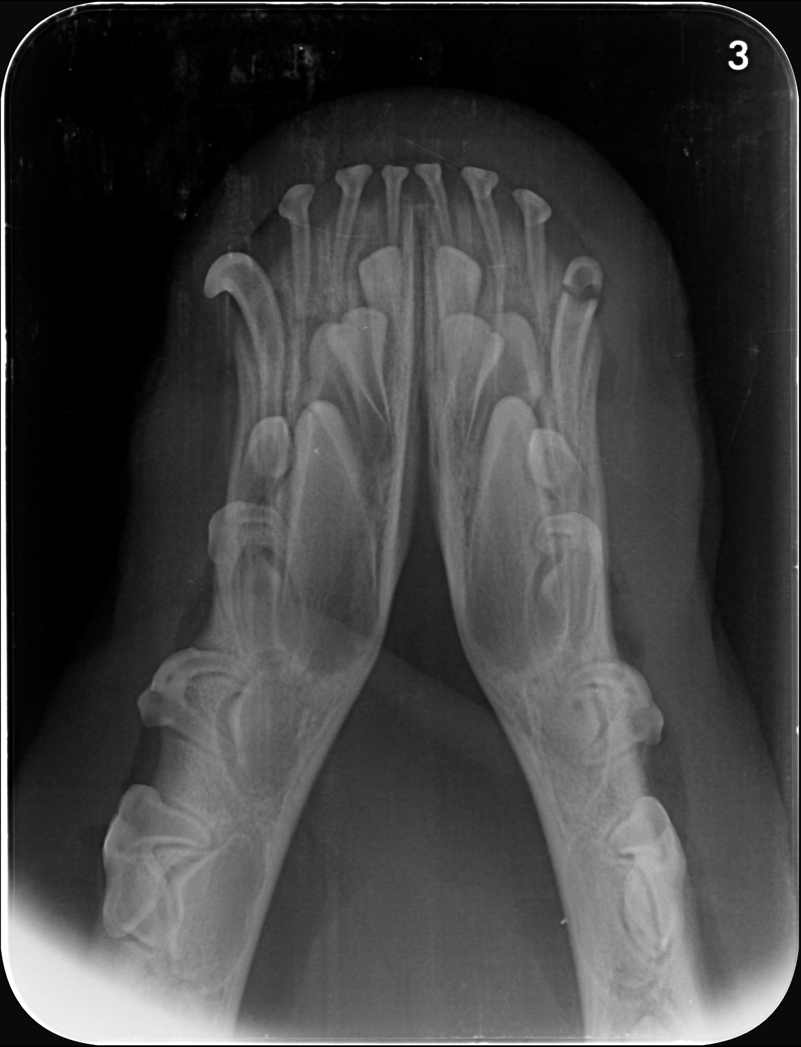
Nous pouvons également effectuer le dépistage de maladies génétiques, vectorielles ou virales, quand votre animal a pu y être exposé, notamment par des tests rapides sanguins, des tests génétiques ou encore des examens radiographiques lorsqu'ils sont indiqués.


Enfin quand votre animal prend de l'âge ou à l'occasion par exemple d'une anesthésie, nous pouvons effectuer des bilans de santé par prise de sang et examen d'urines, afin de dépister le plus précocement possibles des maladies cardiaques, rénales, thyroïdiennes, car une prise en charge précoce, avant les premiers signes cliniques, est le meilleur moyen de prolonger efficacement la vie de votre animal. 

Pathologie du comportement

La Dre Vet. Marie Lopez, titulaire du Diplôme Universitaire de Psychiatrie Vétérinaire, effectue des évaluations comportementales des chiens dans le cadre légal (évaluation des chiens catégorisés pour obtention du permis de détention, évaluation des chiens mordeurs après morsures) ainsi que les consultations de pathologie du comportement chez les chiens et chats qui le nécessitent.

Nos autres vétérinaires, les Dres. Vet. Gachon et Strub, sont tout à fait aptes à effectuer le dépistage de certains signes d'appels en consultation préventive ou de médecine générale.

Dentisterie

La Dre Vet. Marie Lopez s'est spécifiquement formée pour pouvoir prendre en charge de manière très avancée, et avec le moins de douleur possible, les pathologies dentaires et leur prévention :

du simple nettoyage dentaire aux extractions multiples et complexes, en passant par la restauration de surface et les traitements canalaires, la clinique est équipée d'un matérie de pointe pour permettre la prise en charge optimale de la dentition de votre animal, et permettre soit de recouvrer le confort d'une bouche saine, soit de sauvegarder les dents qui peuvent l'être.

Nutrition

Parce que bien se nourrir c'est le début de la santé, nous mettons en place plusieurs services
au cabinet pour vous faciliter l'accès à la meilleure nutrition possible, au meilleur prix.

- Calcul de rations ménagères : physiologiques pour les animaux en bonne santé, diététiques quand ils sont malades voire cumulent plusieurs pathologies, parce que la ration ménagère reste le "gold standard" pour nourrir son chien ou son chat en sachant ce qu'il y a effectivement dedans...


- Service d'interprétation d'étiquettes : cuisiner pour votre animal c'est pas votre truc, et vous vous demandez ce que valent les croquettes que vous avez choisi pour votre animal et si elles correspondent à ses besoins? A ce jour, s'y retrouver dans la jungle du bullshitmarketting doublé des conseils douteux de Dr google et autres profs de sport, c'est pas simple, et c'est pourquoi nous vous proposons de faire l'étude pour vous (si tant est que les informations soient disponibles sur l'emballage, ce qui n'est pas toujours le cas....)

- Tarifs des aliments alignés sur internet pour rester dans les prix du marché quand vous commandez au cabinet : l'assurance d'une alimentation de qualité grâce aux marques vétérinaires et leurs garanties (aminogrammes et donc qualité des protéines garantie!, aliments complets et adaptés aux besoins physiologiques, aliments thérapeutiques d'efficacité garantie), tout en bénéficiant de tarifs très abordables grâce à la commande (-20% sur tous les sacs en commande), sans perdre les avantages des services du cabinet que sont le conseil personnalisé, et la reprise quand par malchance votre animal ne les aime pas!


- Consultation de nutrition : quand tout ça ne suffit pas et que la gamelle de votre animal reste source de souffrance soit pour lui soit pour vous, nous pouvons consacrer le temps complet d'une consultation pour un bilan complet et personnalisé.

Homéopathie uniciste

Afin de mettre toutes les chances du côté de votre animal à tout moment de sa vie, nous utilisons l'homéopathie, pour les pathologies aiguës et chroniques, en complément de la médecine traditionnelle, voire à la place quand elle est en échec. La prescription en chronique nécessite une consultation d'une heure et donc une consultation dédiée.

Accompagnement de fin de vie

Parce que malheureusement ils ne sont pas éternels, nous sommes à votre disposition pour vous renseigner, vous aider à la prise de décision et quand il est temps accompagner les derniers instants de votre animal, dans la sérénité et la bienveillance, en prenant le temps nécessaire avec vous. 

Nous avons aménagé une salle dédiée pour que ce moment très particulier puisse se dérouler dans les meilleures conditions possibles.

Ecole du chaton

Il est souvent compliqué de soigner un chat, que ce soit à la clinique ou chez vous. Plus l'apprentissage se fait tôt plus ce sera facile par la suite. C'est dans ce but qu'est née l'école du chaton. Apprendre aux chats ainsi qu'aux propriétaires les soins de base, aménager l'environnement de votre félin qui a des besoins bien particuliers, faciliter votre venue à la clinique etc.

Pour plus de renseignements vous pouvez vous adresser auprès de notre ASV Diane.